Sanft. Sicher. Effektiv. Erlebe die Hautverjüngung mit dem FDA-zugelassenen Microneedling-System mit CE-Zertifizierung für höchste Sicherzeit und geprüfte Wirksamkeit.
Microneedling


für strahlend schöne Haut
Microneedling mit dem SkinPen ist eine hochmoderne Behandlung zur Hautverjüngung. Durch feine Mikrokanäle wird die Haut angeregt, sich selbst zu regenerieren. Das Ergebnis: feinere Poren, ein ebenmäßiger Teint und sichtbar straffere Haut – ganz ohne Ausfallzeit.
Vorteile auf einen Blick
Strafft die Haut
Verfeinert das Hautbild & Poren
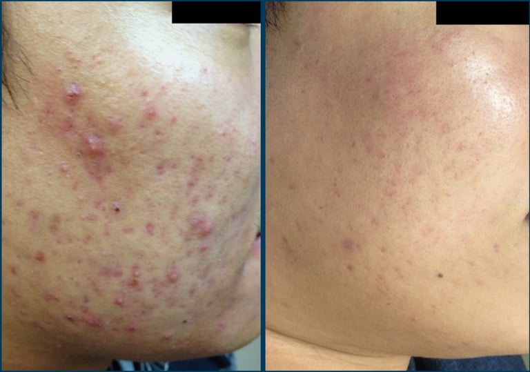
Reduziert Akne-Narben und Pigmentflecken
Wirkt gegen Falten & feine Linien
Regt die natürliche Kollagenproduktion an
Wie funktioniert Microneedling mit dem SkinPen?
Der SkinPen arbeitet mit feinen, sterilen Nadeln, die präzise Mikroverletzungen in der Haut setzen. Dadurch wird der natürliche Heilungsprozess angeregt, und die Haut produziert neues Kollagen und Elastin. So entsteht Schritt für Schritt eine glattere, festere und jugendlichere Haut.



Überzeuge dich selbst!






















5 Min. später
15 Std. später
48 Std. später
Für wen ist Microneedling geeignet?
Erste Falten und Linien
Akne-Narben & unreine Haut
Pigmentstörungen & Sonnenschäden
Große Poren
Müde, fahle Haut
Behandlung & Ablauf
Hautreinigung
Betäubungscreme (optional)
Behandlung mit dem SkinPen (ca. 30 Minuten)
Beruhigende Pflege & Sonnenschutz
👉 Hinweis: „Gesellschaftsfähig meist schon am nächsten Tag.“
Häufige Fragen (FAQ)
1. Tut Microneedling weh?
Dank einer speziell aufgetragenen Betäubungscreme ist die Behandlung gut verträglich. Manche Kund:innen spüren nur ein leichtes Kribbeln oder Pieksen.
2. Wie lange dauert die Heilung?
Nach der Behandlung kann die Haut für 1–2 Tage gerötet sein, ähnlich wie nach einem leichten Sonnenbrand. In den meisten Fällen bist du nach 24–48 Stunden wieder voll gesellschaftsfähig.
3. Wann sehe ich erste Ergebnisse?
Oft wirkt die Haut schon nach wenigen Tagen frischer und ebenmäßiger. Der volle Effekt zeigt sich in den Wochen danach, da die Haut neues Kollagen und Elastin bildet. Für optimale Ergebnisse empfehlen wir eine Kur von mehreren Sitzungen.
4. Wie viele Behandlungen sind notwendig?
Das hängt von deinem Hautziel ab.
Für einen frischeren Teint reicht oft schon eine einzelne Behandlung.
Bei Aknenarben, Fältchen oder Pigmentflecken empfehlen wir 3–6 Sitzungen im Abstand von ca. 4 Wochen.
5. Ist die Behandlung sicher?
Ja. Wir arbeiten mit dem SkinPen®, einem CE-zertifizierten und von der FDA zugelassenen Medizinprodukt. Sterile Einmalnadeln und strenge Hygienestandards machen die Behandlung sehr sicher.
6. Für wen ist Microneedling geeignet?
Microneedling eignet sich für alle Hauttypen und -farben. Besonders empfehlenswert bei:
Aknenarben
feinen Fältchen
Pigmentflecken & Sonnenschäden
großen Poren
fahler, müder Haut
7. Gibt es Nebenwirkungen?
Die häufigste Reaktion ist eine Rötung oder leichte Schwellung, die nach 1–2 Tagen abklingt. In seltenen Fällen können kleine punktuelle Blutungen oder Schuppenbildung auftreten – das ist ein normaler Teil des Regenerationsprozesses.
8. Was muss ich nach der Behandlung beachten?
Am selben Tag kein Make-up, kein Sport und keine Sauna.
24 Stunden lang direkte Sonne meiden.
Immer einen hohen Sonnenschutz (SPF 50) verwenden.
Sanfte Pflegeprodukte nutzen – keine aggressiven Peelings oder Säuren in den ersten Tagen.
Beratung & Termin
Jede Haut ist anders – deshalb beginnt jede Behandlung mit einem ausführlichen Beratungsgespräch und einer individuellen Hautanalyse. Gemeinsam besprechen wir, was möglich ist und erstellen einen passenden Behandlungsplan.
Jetzt Termin vereinbaren und den ersten Schritt zu glatter Haut machen.
